Posts Tagged Thought
The Sum Total of A Week of Rehabilitation From Foot Surgery: A Tribute to Samuel Beckett, ee cummings and The Reverend Norman Vincent Peale
Posted by Keith Spillett in Articles I Probably Shouldn't Have Bothered Writing, Totally Useless Information on March 12, 2011
“Uninspired.”
-Uninspired
Uninspired. Uninspired. Uninspired. UNinspired. UN-IN-SPIRED. unINSPIRED? UNinSPirED. UNINSPIRED!!! UNINSPIRED!!!!!!!!!!!!!!UNINSPIRED!!!!!!!!!!!!!!!!!!!!!!! (uninspired) …..un……..in……..spired……………..
UN
IN
SPI
RED
DERIPSNINUUNINSPIRED
UNINSPIREDDERIPSNINU
Narrator: Uninspired uninspired uninspired uninspired.
Uninspired #1: Uninspired? Uninspired, uninspired…unispired?
Unispired #2: Uninspired!!!!
Uninspired #1: UNINSPIRED!!!!!!!!!!!!!
Uninspired #2: Uninspired?
Uninspired #1: Un-IN-Spi-RED!!!!!!!!!!
Uninspired #2: Un…in………..spired.
Narrator: Uninspired, uninspired. Uninspired {uninspired X uninspired= Uninspired}
Uninspired #1 and #2: (uninspired) !UNINSPIRED!
We Are Bones, We Are Dust
Posted by Keith Spillett in Articles I Probably Shouldn't Have Bothered Writing, Existential Rambings, Health Tips for An Early Death, Pointyheaded Highbrow Stuff on March 6, 2011
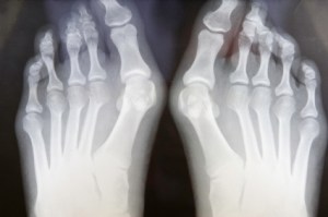
This thing that I think that I am, sometimes, I am not. Looking at an X-Ray of my right foot has twisted my mind into knots for the past few weeks. It’s not that they found anything that disturbing. My doctor discovered a bone spur, which I was pretty sure that I had. No surprise there. I am having surgery tomorrow. Again, not a surprise. The thing that got in my head was the X-ray itself. If I am what’s in that picture…what am i?
There was this picture of the bones in my foot staring at me. The doctor was pointing to things and saying a bunch of words, but I was transfixed on the picture. There I am? There I AM! There I am?!?!?!? This picture is of the inside of me. Underneath all of this skin and blood are a set of bones. These bones have been with me all of my life. They were at my high school graduation, they were there when I got married, they attended the births of my two beautiful children, they have seen me laugh, they have seen me cry, they have been there when I thought I was alone. I couldn’t process it. These bones are actually me!
The me that I think I am is the thing that experiences the world consciously. I am aware of feelings and ideas. I make plans and I remember experiences. I see, I smell, I touch, I taste, I hear. I have no problem associating these things with me. Then, there are these bones. They are in me, they are part of me, but I can’t believe that they are me. This picture wasn’t some random x-ray they keep in the back and show everybody. These were my bones! Seeing them really sucked the magic out of everything. I tend to think of myself as more than the sum of my parts, but maybe I am nothing more than my parts. Maybe, I am just bones and skin and blood with a few organs floating around.
There are parts of myself I have never seen. I don’t know what my hip bone looks like. I don’t know what my liver looks like. My heart, my brain, my lungs…all highly valuable parts, but I couldn’t tell mine from my neighbors. The me that I know seems so special, so unique. My memories seem so important, as if they are part of some great mystery that I have a lifetime to solve. My thoughts, my ideas, my identity all seem to be pieces in the great “who am I?” puzzle. They all conspire to make me believe that I am an enigmatic character whose mythology is terribly important. And then, there is this picture of the inside of my foot. It is not special. It is not unique. It is simply mineralized osseous tissue housed in a pile of skin that is called “foot”. There are somewhere in the range of 14 billion of them and they all pretty much look and act the same. Sure, there are minor subtleties and nuances, but for the most part, what is the difference?
My foot does not find itself unique. It pushes against surfaces over and over throughout a day. It works, it rests. It does not feel loneliness or claustrophobia if it is trapped in a shoe for too long. It does not become jealous that I am favoring my other foot. It does not make plans to meet with my spleen for coffee. It does not become romantically involved with my esophagus. It does not ponder the mysteries of the universe and wonder what will happen to it when it dies. It is material and material has no time for enchantment. It simply is. When it ceases to work, it will waste away along with the rest of this thing that is me.
There is a part of me that cannot imagine that this is possible. There must be something else, there must be something more. I am more than that picture. I am not just bones. I am not just flesh. I am something mystical. I am more than those parts. I am more than words on a page saying “healthy, well-developed 35 year old male suffering from Hallux rigidus“. Right? Right?!?!?!
Maybe this identity of mine that I find so fascinating is just a bunch of electrical impulses. Maybe we are just piles of material walking around among other piles of material, thinking that thoughts and memories and ideas make us more. These self-important piles of material spend much of their time avoiding damage so that they can one day be part of creating new piles of material. And on and on with no direction, no meaning and no end. Thousands of them are created each day and thousands disintegrate. It does not matter…it is only matter.
What If There Is Nothing Worth Writing About?
Posted by Keith Spillett in Articles I Probably Shouldn't Have Bothered Writing, Existential Rambings on February 13, 2011
“The dreamcrossed twilight between birth and dying.”
–TS Eliot from Ash Wednesday
Recently, a terrible feeling has been crawling up the base of my spine. It awakens me in the middle of the night, it hounds me when I am driving home from work, it swims in and out of my mind every time I consider this cursed blog. I think I had this thought in my mind even before I started blogging, but over the last month its light buzz has grown to a deafening roar. This feeling is in the pit of my stomach and the recesses of my mind all at once. It is a voice that talks to me while I write and a spirit that haunts me when I do not. Nothing makes it grow quiet. It is omnipresent. It is a simple idea, but if you follow it to its logical extreme it is as dangerous as a nuclear bomb. The question is this…Is there that is really worth writing?
It seems a rather harmless line of questioning. That is how it starts. The point of writing is to create something. I hope to create something new. Have all the worthwhile thoughts already been had? Has someone else already put down all the truths and mysteries of life on paper? With the Internet, you can find access to nearly every idea that has been conceived of. Most of us concern ourselves with whether LeBron is better than Kobe or who is married to who and who is getting a divorce or who wore what on the red carpet or who embarrassed themselves in front of the world. If you want to dig deeper you can find recipes for how to prepare ox tail, the history of Buddhism, better and more in depth formulas to calculate the value of third basemen or the performance of treasury bonds, or the lost works of some 19th century poet you came across at three in the morning on some insomnia driven information binge. But to what end? Is it just more and more stuff to fill our minds with?
Maybe I shouldn’t concern myself with creating something original. After all, what is the point of originality? Am I simply trying to justify my existence by conning myself into the belief that I am so special and unique that I can think a thought that the rest of the 6 billion of us could not come up with? Am I so narcissistic that I think I am capable of an idea that has never been here before?
Maybe the point is to appreciate the experience of writing. Maybe the whole thing is about letting my synapses fire and my fingers pound away at some keyboard. To what end? I do it again and again. Words appear. More words appear. Then more. More. They mean something, but who really knows what? They dance in patterns. I already have forgotten most of what I’ve written. I could look back. To what end?
Why bother sending this nonsense out to the world? Looking for fellow travelers on the good ship Earth as we spiral towards our own personal oblivion. To what end? Am I simply standing in front of the Grand Canyon shouting at the top of my own lungs in the hopes of hearing an echo? And then what?
Maybe my words will help ease the pain of human suffering. A noble goal but when you look at what we are up against, it hardly seems possible. A dying heap of flesh and consciousness trapped in a fading world that is saturated with mountains of disconnected ideas adding up to nothing in particular is going to be helped by some random guy typing random words on a computer screen? Really? I haven’t watched enough Frank Capra to buy it. It is a pleasant delusion, but a delusion nonetheless. Maybe the goal is to delude others into forgetting their troubles. They will remember them soon enough or, worse, they will enjoy the delusion so much they will forget what is happening to them and the ones around them. Apathy or sadness. Ignorance or constant horror. To what end?
If I could write something that could teach people how to live forever or convincingly show them that their actions are connected to something greater then maybe I would be writing something worth reading. But I am not that good of a writer and I doubt I will ever be. I wonder if anyone is. Existential dread is what it is and I can’t write it away for myself or anyone else. Can writing change the truth of what we are? I simply don’t believe that. And even if it could…to what end?
Maybe all of the thoughts have been thunk and all of the dreams have been dreamt and we are simply recycling the same old nonsense in slightly different packages again and again and again. Over and over. The paint job changes but it’s still the same old world. Meet the new boss same as the old boss.
This isn’t my MacArthur speech to the troops blog. I plan to keep doing this again and again for no apparent reason. It is a complete waste of time. It has no value and is utterly and completely useless. I enjoy writing more times than I don’t. I like hearing how my words hit people. I am deeply curious as to how my innermost thoughts are perceived by strangers. I guess that is something, but it will fade after a while. These are simply words on a page and they don’t mean anything. Nothing lasting or real or forever or genuine will ever come out of my mind or my hands. They are shapes, they are colors contrasted with the background, they are a speck in the eye of history. They are words. Their lifespan is about as long as it takes to get to the next sentence.
Reflections of a Wayward Blogger
Posted by Keith Spillett in Articles I Probably Shouldn't Have Bothered Writing on January 10, 2011
I’ve been doing this for three months and I decided, since the point of this blog for me is to better understand the mess in between my ears, to do a quick inventory of what I have learned in doing this. Personally, I’m not a big fan of this sort of exercise, but I figure I can indulge my narcissistic tendencies for a few lines. If you are not one for eavesdropping on the self-reflections of a stranger, this is probably the column to skip. In fact, this column is probably of no practical purpose to anyone except me. I’m sure I could think of something to say where it could make it seem like I’m trying to present something of value to the human race and how we’re all the same in some ways and all of that, but it would be highly disingenuous and I haven’t the time or interest to bother. If you can find something worthwhile in the next 900 or so words, more power to you. Away we go:
1. I really enjoy talking to strangers. I get a genuine buzz out of the reply part of the column. I am really excited to see what people think of what I wrote and I like trying to synthesize their ideas with mine. I’m like a 17 year old waiting for the limo to show up on prom night every time I see one of those “Please Moderate Comment” messages in my email inbox. Getting a reply never fails to make my day.
2. I’m a heck of a lot meaner than I thought. For a good number of years, I have functioned under the assumption that I was over the whole “being evil to people” thing. I spent a good portion of my teen years and some of my twenties being downright cruel to others because I liked how the words I was saying sounded. I had a notion that this was gone, but I have had a few moments where I felt bad blood boiling up to the surface again. Sometimes, I get hooked into the rhythm of how things sound and forget that I am talking about another human being. There are moments where I think I would probably throw my grandmother off a speeding train just to see if she’d bounce. I’m not particularly proud of this aspect of my character, but it’s real.
3. Sarcasm reads different than it sounds. I check in with a few of my friends who know me off of here to get a sense of how things came across on the page. What is astonishing is that points I make that I think are obviously sarcastic do not always translate how I think they do. How it sounds in my head is not always how it sounds in other people’s minds.
4. I have no idea what the reader is thinking. This could really be 3B, but I felt like it deserved its own number. There is a weird calculus that must be considered when writing to an audience. You aren’t just thinking of the idea, but also what people will think when they read the idea. Throw in the fact that I don’t really know a lot of the people who are reading my stuff and I get a sense that I am never really going to understand how things are going to be perceived, but I can’t help but to try to figure out what the reader is going to see in my words. The stuff I’ve written that I liked the best is usually way different than the stuff other people have said they liked. It’s a heck of a mystery. What makes it somewhat frustrating for me is that in person, I’m halfway decent at reading a persons response and flowing off of that. In writing, I really am not sure how to do that yet and I’m not sure I’ll ever know or if it is even possible.
5. I am terrified of repeating myself or writing a boring column. There are several things of written that I read and thought, “Wow! This is horrendously bad.” Mercifully, I have not included most of them on the blog (but there have been a few that made it). The worst thing I feel like I could ever do to a reader is bore them. I also worry that I am going forget that I used a line and repeat it in another column. The second one is an odd thing to be worried about, but it wakes me up sometimes in a sweat.
6. Speaking of blinding fear and panic…I am frightened I will run out of ideas. I don’t even want to write about this one because I’m afraid that the god of ideas will decide that to punish me for some earlier, unnamed transgression and the part of my brain that produces creative ideas will seize up like the engine in most any Ford that gets over 125,000 miles. I now have even more respect for people who do this for a living on deadline. I try to imagine doing this and attempting to be interesting for 300 or so days during the year. The thought terrifies me. I think I would sleep about 20 minutes a night and would probably end up in a padded cell scrawling the lyrics from some Beach Boys song in mustard on the wall. Grantland Rice wrote constantly for over 50 years and barely ever wasted anyone’s time. Isaac Asimov managed to knock out over 400 books. I’m only three months in and I’m already doing the hackneyed “talk about myself and what I’ve learned” column.
7. Commas are infuriating. I never know when to use them and they always seem like they are in the wrong place.
8. Spell check will not catch sentences that are just plain awful. It only manages to catch spelling and grammar mistakes. I have snuck some genuine garbage past its watchful eye without a hint of a squiggly green line.
9. I am even more obsessive about this than I thought I’d be. I stayed away from doing this for a while because I have the type of personality where I get very, very into things. I knew this would be an issue going in, but wow. If my wife has to endure another dinner table discussion about potential blog ideas, I’ll shoot me for her.
Enough of this already. I’ll try to get back to something interesting next time. Maybe I can write about what I did on my summer vacation or an exciting tell-all piece about my favorite flavor of ice cream.



